Mr Pascal R, 56 ans,
après une longue hésitation due à une grande peur de l'intervention : remplacement de 3 dents sur implants

Mr Daniel S, 28 ans,
Remplacement d'une prémolaire fracturée par un implant


Mr Henri S, 84 ans (notre doyen !) ,
Comblement de l'édentation du secteur inférieur gauche par des implants

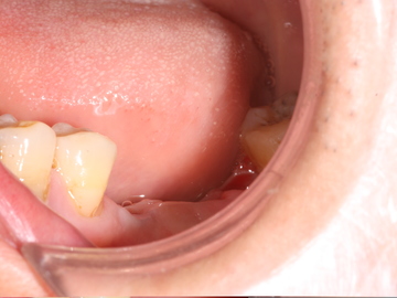
Mme Nicole P, 61 ans :
Remplacement des 2 molaires inférieures droites : pouvoir remanger enfin ...!!!

Mme Zohra M, 35 ans,
Remplacement de 2 dents par implants

Mr Yann G, 49 ans,
Après la perte des dents du coté gauche : rétablissement de la fonction masticatoire par 3 implants

Mme Christiane H, 61 ans :
Remplacement de 2 molaires par des implants

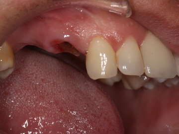
Mme Céline V, 42 ans,
Suite à un trauma sur l'incisive centrale il y a des années , la dent n'est pas conservable. Extraction, pose de l'implant et d'une couronne provisoire ( pour ne pas rester sans dent...) et mis en charge de la prothèse d'usage


Mme Isabelle A, 59 ans,
Suite a la fracture de la prémolaire, l'implant a été posé le jour même de l'extraction ce qui diminue le nombre d'interventions et limite les douleurs post-opératoires.

Mme Nicole B 65 ans,
- Remplacement d'une canine par implant et prémolaire par couronne emax

Mme Brigitte B - 54 ans,
- Perte d'une dent infectée et mobile et remplacement par une couronne sur implant
Mr Joël M - 48 ans,
- Remplacement d'une dent perdue il y a longtemps par une couronne sur implant
Mme Chantal G - 65 ans,
- Suite à la perte de 2 dents mobiles : restauration par 2 couronnes sur implants
Mr Van Sa N - 54 ans,
- 2 molaires perdues mais "retrouvées" grâce à 2 couronnes sur implants
Mr Philippe N - 52 ans,
- Après la perte de 2 dents, reconstitution par 2 couronnes sur implants
Mme Jeannine T - 85 ans (notre doyenne implantaire du cabinet)
- Dents cassées, dents mobiles, dents infectées : après traitements et extractions, la patiente a opté pour des implants parce qu’elle ne voulait pas d’un appareil amovible (“un dentier”) : pose de couronnes céramiques sur 8 implants. Cela n’empêche pas des petits problèmes de brossage...
Mme Francine P - 81 ans (comme quoi il n’y a pas d’âge pour poser des implants...).
- Suite à la perte des dents du secteur postérieur gauche, nous décidons de poser 3 couronnes sur implants : la patiente peut de nouveau s’alimenter sans problème
Mme Yamina B - 38 ans
- Sauvetage d’une dent dont il ne restait pratiquement rien
Mr Eric D. - 64 ans
- Malgré un grand nombre de dents absentes, le patient ne voulait pas d’appareils amovibles
- Une solution avec prothèses sur implants a été choisie.






Mr Patrick S. - 24 ans.
- Suite à la perte d’une dent
- Reconstitution par prothèse sur implant
Mr Phong V ( 49 ans)
- Il a fallu extraire toutes les dents cariées et mobiles du bas
- Porter un appareil amovible et ensuite tout reconstituer
Mr Florentin R (63 ans)
- Suite à la perte progressive de toutes les dents du haut (sauf 1) et le port d’un appareil amovible
- Reconstitution totale sur implants
Mr Nordine H (62 ans)
- Suite à la perte d’un bridge antérieur de plus de 20 ans
- Remplacement par un bridge sur implants
Mr Michel G ( 63 ans)
- Après 13 ans de réflexion, Il a décidé de remplacer les dents du haut absentes afin de s’alimenter convenablement
- 5 Couronnes sur Implants
Mr Richard C ( 51 ans)
- Steward qui devait remplacer ses dents sans être ennuyé en vol
- 3 Couronnes sur implants en bas
- 1 Couronne sur implant en haut
Mme Ghyslaine V ( 67 ans)
- Perte de toutes les dents postérieures en haut : remplacement par des couronnes sur implants
- Résultats à 1 mois, 7 ans & 8 ans
Début de traitement
À 1 mois
À 7 ans
À 8 ans