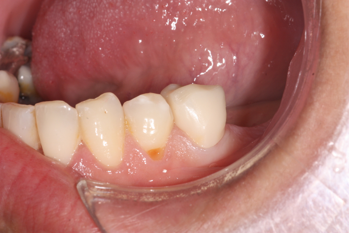
Mme B :
dent terminale, à conserver impérativement : pose d’une couronne céramo-métallique
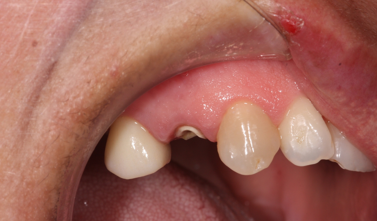
Mlle Sylvie C (38 ans) : Molaire du bas sauvée in extremis par une couronne céramo-métallique
Mme Nedjma K ( 39 ans) :
dents perdues et dents délabrées sauvées par une combinaison d’une couronne sur implant et d’un bridge conventionnel céramo-métallique
Mr Gregory F, 39 ans,
- Beau résultat pour cette dent cassée
Mlle Stephanie G, 23 ans,
- Récupération d'une dent en bien mauvais état
Mr Fouad B, 44 ans,
- Reconstitution d'une prémolaire vraiment délabrée
Mr Mahmoud H, 39 ans,
- Molaire reconstitué avec une couronne Emax
Mme Sylvaine V, 63 ans,
- Couronne perdue sur une prémolaire et remplacée par une couronne Zircon
Mme Aicha B, 46 ans,
- Prémolaire laissée à l'abandon et récupérée à l'aide d'une couronne Zircone
Mme Sabrina M, 38 ans,
- La dent était cassée, pratiquement irrécupérable, et pourtant...
Mr Axel C, 28 ans,
- Carie sur molaire supérieure droite
Mr Jawad A, 30 ans,
- Grosse carie délabrante. Dent reconstituée avec une couronne en Emax
Mme Nassima N, 47 ans,
- Molaire fortement cariée et délabrée

Mr Tarik R, 54 ans,
- Une grosse carie a délabré la prémolaire qui a été soignée et reconstituée par une couronne céramique
Mme Isabelle S, 28 ans,
- Reconstitution d’une prémolaire par une couronne céramique
Mme Fatia Petula JF, 42 ans,
- Restauration de 2 prémolaires solidarisées pour éviter les dépôts de nourriture entre les dents
Mme Fadila E, 30 ans,
- Reconstitution d’une prémolaire délabrée
Mme Aicha B, 54 ans,
- Incisive latérale cassée
Mme Yamina B , 38 ans,
- Reconstitution d’une dent par une couronne en Zircone
Mme Audrey L, 44 ans
- Suite à une grosse carie, reconstitution de la prémolaire par une couronne céramique