Mme Rachida K, 53 ans,
Remplacement de la canine

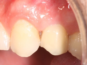
Mme Faouzia S, 46 ans :
reconstitution de prémolaires à l'aide de couronnes céramiques

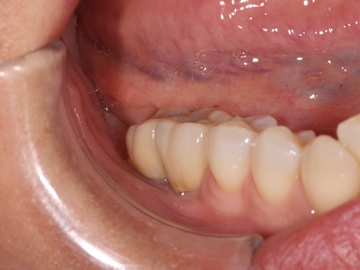
Mr Serge B, 57 ans,
Couronne en zircone sur prémolaire


Mr Michel V, 64 ans :
Restauration de 2 dents délabrées par des couronnes zircone


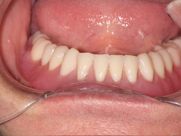
Mr Mathieu W, 39 ans :
Belle restauration d'une molaire inferieure

Mr Jean-Jacques B, 74 ans :
couronne sur une prémolaire très dégradée

Mme Sylvie M, 47 ans
Restauration d'une dent à priori condamnée


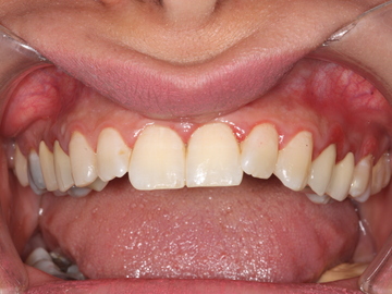
Mlle Sandrine Y, 31 ans,
Restauration d'un sourire par le remplacement des 4 prémolaires
Mr Georges S, 52 ans,
Suite à des problèmes de santé, le patient a perdu une dent et cassé une autre : pose d’une couronne sur implant et d’une couronne sur dent naturelle


Mr Nordine H, 62 ans,
Après la perte de 3 dents et une carie sur une autre , la restauration s’est faite par la pose d’une couronne céramique sur dent naturelle et 3 couronnes sur implants.
Nous avons restauré la fonction, l’esthétique et éviter le port d’un appareil amovible
Mr Tin T. - 61 ans
Désespéré par ses prothèses complètes qui ne tiennent pas (perte du volume osseux et gingival) Il a été décidé d’opter pour une prothèse complète stabilisée par 2 attachements (type bouton-pression) sur implants.
Mme Marie H ( 64 ans) :
pour résoudre le problème de tenue de son appareil complet du haut (qui tombait sans arrêt), nous avons choisi de le stabiliser avec des attachements ( type bouton/pression) sur implants
Mr Said S ( 35 ans)
remplacement par une couronne sur implant d’une dent apparente pour restaurer le sourire
Mr Gérard G ( 71 ans)
Après la perte d’une dent antérieure mobile Nous avons procédé au remplacement à l’identique par une couronne sur implant

Mme Francine P (65 ans)
Après le remplacement de 9 dents du haut par des couronnes sur implants il y a 7 ans La dernière a été posée récemment
Mme Nora M (46 ans)
Après la perte de 2 dents suite à des caries Pose de 2 implants
Mme Patricia G. (65 ans)
Après 15 ans de port d’une prothèse amovible Il a décidé d’opter pour des implants
Mr Jean-Pierre J ( 60 ans) :
après 20 années de port d’un appareil amovible pour combler l’absence de plusieurs dents, il a été décidé d’une restauration de toute l’arcade supérieure par un bridge conventionnel céramo-métallique de grande étendue.
